Saiba qual o papel do Neurocirurgião no AVC
Por: Antônio Prates Jr, Neurocirurgião em Belo Horizonte e região metropolitana de BH
O acidente vascular encefálico (ou cerebral) ocorre quando há redução do aporte de sangue para alguma região do cérebro. Geralmente o objetivo precoce do tratamento é o retorno da chegada de sangue à região isquêmica, seja através de medicações (trombólise, AAS) ou procedimentos endovasculares (intra-arteriais). O tratamento medicamentoso geralmente é conduzido apenas pelo neurologista.
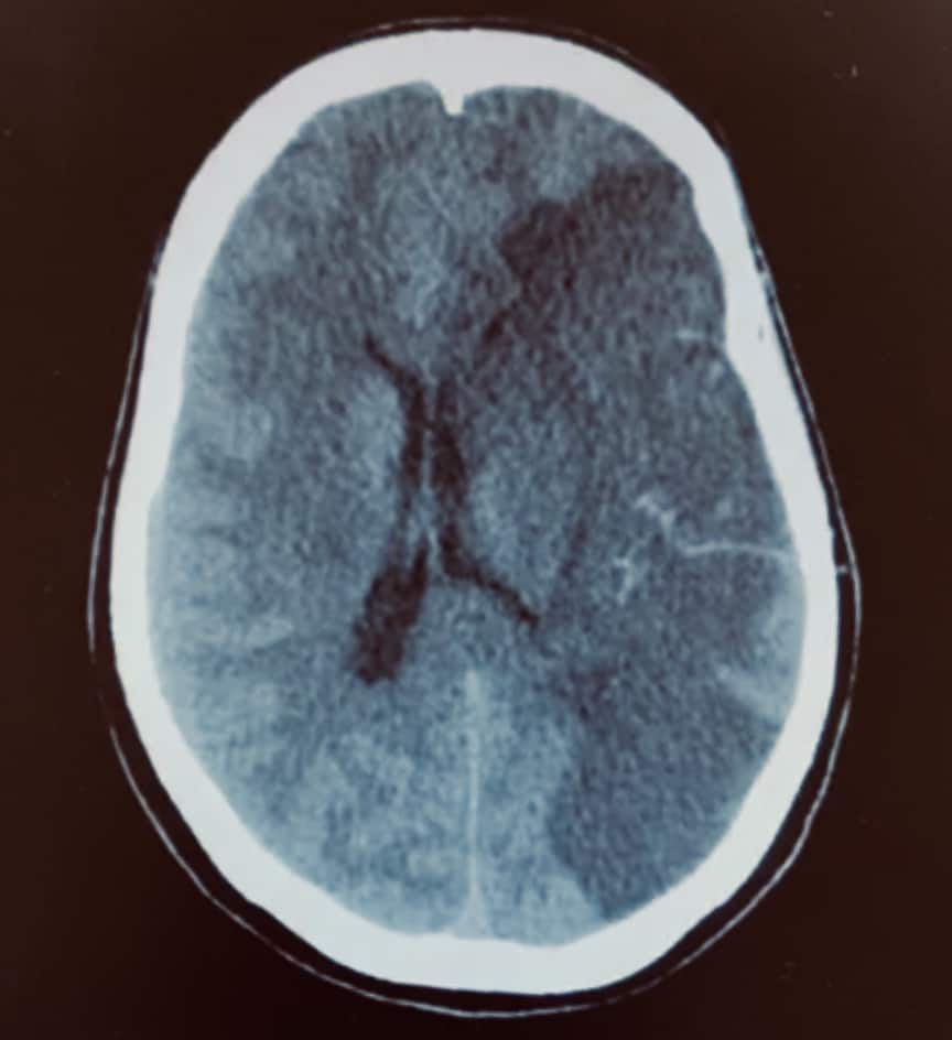
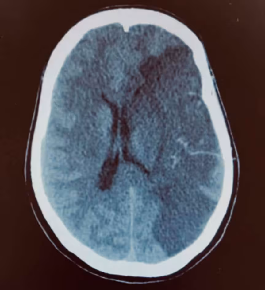
Porém, em alguns casos como o mostrado na imagem, a área de isquemia (mais escura à esquerda) é muito grande e com o desenvolvimento do edema (inchaço) no cérebro o paciente está em risco de piora das sequelas e morte. Nesses casos, chamados de AVC maligno, pode haver benefício na avaliação do Neurocirurgião. O procedimento realizado nesse caso é a craniectomia descompressiva.
A craniectomia descompressiva consiste na retirada de um grande fragmento da calota craniana e expansão da dura-máter (meninge rígida que envolve o cérebro) a fim de liberar espaço para acomodar o cérebro inchado. O osso removido pode ser armazenado em um banco de ossos, na gordura subcutânea abdominal ou descartado. Após melhora do edema e condição clínica geral do paciente, o osso é retornado ao crânio (cranioplastia).
Vários estudos recentes mostraram benefícios na realização desse procedimento com redução da mortalidade e melhora funcional em alguns grupos específicos, de forma geral, aqueles com AVC extenso, mais jovens, sem outras doenças graves e com possibilidade de realização de cirurgia precoce.
A indicação de tal procedimento deve ser individualizada para cada paciente e indicada pelo Neurocirurgião, em conjunto com o Neurologista e Intensivista responsável. É uma terapia que continua em estudo mas, no momento, existe evidência científica demonstrando o seu benefício.
Caso necessite de mais informações, procure um Neurocirurgião. Veja mais informações sobre a atuação da Neurocirurgia.
Dr Antônio Prates Jr, atuação em Belo Horizonte e região metropolitana de BH.
Agendar uma consulta