Hematoma subdural crônico: doença que pode simular demência em idosos
Por: Antônio Prates Jr, Neurocirurgião em Belo Horizonte e região metropolitana de BH
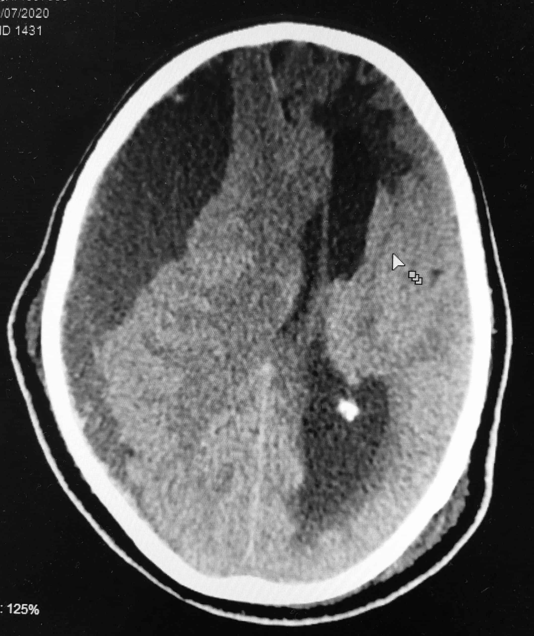
Um hematoma subdural crônico é constituído pela presença de sangramento crônico no espaço subdural, ou seja, abaixo da dura-máter (meninge rígida que envolve o cérebro). Ele se forma inicialmente em decorrência de algum traumatismo craniano, mesmo que mínimo, que cause hemorragia no espaço subdural. Esse sangramento estimula a formação de membranas e deposição de substâncias dentro do hematoma que provocam novos sangramentos, perpetuando o mesmo. Assim, ele pode atingir grandes dimensões como na imagem mostrada.
Tal doença é mais comum em pacientes idosos, em decorrência da atrofia cerebral normal para idade que torna as veias em ponte (pequenas veias que atravessam do cérebro para a dura-máter no espaço subdural) esticadas e suscetíveis à lesão e sangramento. Os principais fatores de risco são o uso de AAS e anticoagulantes. Em muitos casos não é possível identificar quando ou se houve algum traumatismo craniano, visto que os sintomas se manifestam algum tempo depois do trauma (às vezes semanas ou meses).
O paciente com hematoma subdural crônico tipicamente apresenta sintomas neurológicos que evoluem de forma gradual e pode simular um quadro demencial em idosos. Os principais sintomas são piora cognitiva, confusão mental, cefaleia, sonolência, déficits neurológicos (como redução da força em um dos lados do corpo, fala "embolada", dificuldade de fala ou entendimento), crises epiléticas e, em casos mais graves, até coma e morte.
O paciente com hematoma subdural crônico deve ser avaliado por um Neurocirurgião. O tratamento pode ser apenas conservador (expectante, com observação e realização de exames de imagem seriados), medicamentoso ou cirúrgico. Geralmente o tratamento medicamentoso é reservado para aqueles pacientes que não tem condição clínica para realização da cirurgia. Quando indicado tratamento, a cirurgia é sem dúvida a primeira escolha.
Os estudos mostram que na maioria das vezes é necessário apenas a trepanação (abertura de um pequeno buraco no crânio), drenagem do hematoma, lavagem do espaço e colocação de um dreno. Cirurgias mais invasivas com craniotomias maiores (abertura mais extensa no crânio) estão associadas à recidivas do hematoma e maior mortalidade. Porém, o tratamento deve ser individualizado para cada paciente de acordo com o quadro clínico.
Procure um Neurocirurgião para tirar as suas dúvidas. Veja mais sobre a atuação do Neurocirurgião.
Dr Antônio Prates Jr – Neurocirurgião em Belo Horizonte e região metropolitana de BH
